Improve image quality, throughput and patient experience.

SwiftMR™ is a deep learning solution that reduces MRI scan time, enhancing patient comfort while improving image quality. The solution allows hospitals to achieve new levels of productivity and efficiency, as shorter scan times increase patient flow.

  • RAPID IMPLEMENTATION
    SwiftMR™ boasts rapid integration, minimising operational disruptions and
    accelerating deployment. Typically, installation is completed overnight, with
    tangible results the next day.
  • REDUCE SCAN TIME
    Reduces MRI scan time by up to 50% through protocol customisation to maximise the benefits of the solution.
  • UPGRADE SCANNERS
    Vendor neutral and allows older machines to deliver improved image quality and faster scan times. 100% coverage – all body parts & sequences (including 3D).

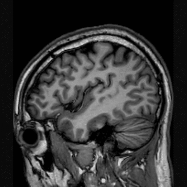
Brain T2WI

3.0T Siemens MAGNETOM Skyra

2D TSE
(L) 0.4×0.4×5.0 mm
(R) 0.4×0.4×5.0 mm

Conventional SwiftMR™ 02:22 01:09 (51% Faster)

Brain 3D T1WI

3.0T Philips Ingenia CX

3D TFE
(L) 1.0×1.0x1.0 mm
(R) 0.8×1.1×1.1 mm

Conventional SwiftMR™ 03:14 02:07 (35% Faster)

Brain MRA

3.0T Siemens MAGNETOM Skyra

3D TOF
(L) 0.5×0.6×1.2 mm,
(R) 0.5×1.0x1.2 mm, MIP

Conventional SwiftMR™ 07:12 03:13 (68% Faster)

Neck T2WI

3.0T Siemens MAGNETOM Skyra

2D TSE
(L) 0.5×0.7×3.0 mm
(R) 0.4×0.6×3.0 mm

Conventional SwiftMR™ 02:50 01:17 (55% Faster)

L-Spine T1WI

3.0T Philips Ingenia CX

2D TSE
(L) 0.4×0.9×3.0 mm
(R) 0.5×1.1×3.0 mm

Conventional SwiftMR™ 03:53 00:34 (85% Faster)

L-Spine T2WI

1.5T Siemens MAGNETOM Essenza

2D TSE
(L) 0.6×0.8×4.0 mm
(R) 0.6×0.8×4.0 mm

Conventional SwiftMR™ 03:00 01:28 (51% Faster)

Shoulder PDWI FS

1.5T Siemens MAGNETOM Essenza

2D TSE
(L) 0.6×0.8×3.0 mm
(R) 0.5×0.8×3.0 mm

Conventional SwiftMR™ 02:51 01:27 (49% Faster)

I knew before my appointment that the duration was shortened, but I was still surprised at how short it actually felt.

Dana MRI Patient

We asked ourselves, is it really necessary to discard perfectly good hardware? Is it sustainable? And we said no. We invested in AI.

Florian Elgeti, MD Radiology & Nuclear Medicine Specialist, Managing Partner, Röntgenpraxis Am Marstall (Hanover, Germany).

SwiftMR has positively affected our day-to-day work. Everything is much quicker, and we have more time for patients.

Melanie MRI Technologist

SwiftMR has improved the quality of images, helping us detect pathological abnormalities even more accurately.

Wolfgang Steger, MD CEO Diagnostic Radiology Specialist

Interested in partnering with us?

We’re always looking to collaborate with forward-thinking AI software companies that want to make a real impact in healthcare. If you’re interested in bringing your innovative solutions to hospitals and healthcare providers across Europe, get in touch with Med AI Solutions today. Together, we can transform the future of medical imaging.